I    TRATAMIENTOS    I

1.  OPERATORIA DENTAL

 

 La Operatoria Dental se dedica a la restauración de los dientes dañados en forma parcial producto de caries, traumatismos  y otras lesiones no cariosas (atrición, abrasión, erosión, hipoplasias de esmalte, etc.). Hoy en día estas restauraciones se realizan en material de resina llamados “composite” que imitan el color del diente y han dejado casi obsoletas a las restauraciones metálicas y amalgamas.

ANTES

DESPUÉS

2. PERIODONCIA

 

 La Periodoncia se dedica al tratamiento de las patologías que afectan a las encías y al hueso de soporte de los dientes. Las enfermedades principales son la Gingivitis y la Periodontitis, ambas se manifiestan principalmente por la inflamación y sangramiento de las encías. El tratamiento puede variar desde realizar una correcta técnica de cepillado y el uso de cinta dental, pasando por el destartraje (eliminación de sarro), o el pulido radicular en el caso de las periodontitis.

ANTES

DESPUÉS

Periodoncia

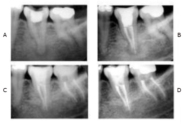
3. ENDODONCIA

 

La Endodoncia o tratamiento de conductos se encarga del tratamiento de las enfermedades que afectan al tejido pulpar del diente (también conocido como “ nervio” ).Gracias a éste tratamiento se puede preservar dientes que antiguamente había que extraer . La endodoncia se indica en casos de caries muy profundas ( lo más común ),dientes fracturadoso por indicación protésica.

Endodoncia o tratamiento de conductos

4. ORTODONCIA

 

La Ortodoncia se encarga del tratamiento de las anomalías de forma,posición,relación y función de las estructuras dentomaxilofaciales. La causa más común para el uso de aparatos de ortodoncia son las malposiciones dentarias o “ dientes chuecos “.

Ortodoncia

ANTES

DESPUÉS

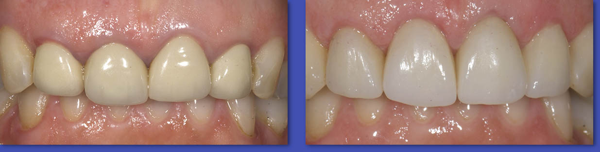
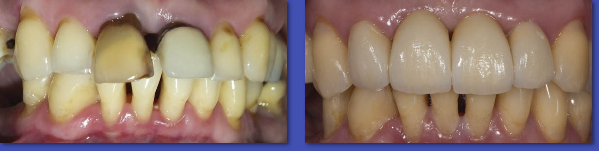
5. PRÓTESIS FIJA (CORONAS Y PUENTES)

 

La prótesis Fija es el tratamiento indicado en aquellos casos en que la corona del diente está afectada completamente y se debe rehabilitar en forma íntegra, además en el caso de los puentes sirve para reponer de forma fija, dientes que fueron extraídos. La mayoría de las veces un diente con tratamiento de conducto requiere una corona para ser rehabilitado.

ANTES

DESPUÉS

6. PRÓTESIS REMOVIBLES

 

La prótesis removible es uno de los tratamientos para reemplazar dientes perdidos, puede ser parcial o total de acuerdo a los dientes que reemplaza, y como su nombre lo indica es removible o sea se debe sacar de la boca para realizar las maniobras de higiene bucal y limpieza de la prótesis.

ANTES

DESPUÉS

7. PREVENCIÓN

 

La prevención es uno de los tratamientos más importantes, la aplicación de sellantes, flúor en barniz o cubetas, control de la dieta, enseñanza de técnicas de cepillado, etc. Son fundamentales para tener una correcta salud oral y a la vez proteger los tratamientos realizados.

Prevención dental

8. IMPLANTES DENTALES

 

Los Implantes de titanio vienen a ser hoy la mejor forma de recuperar los dientes perdidos. El porcentaje de éxito de los implantes esta cercano al 95%. Los Implantes son una prótesis que se inserta en los huesos maxilares y sobre ellas se pueden realizar rehabilitaciones tanto de uno como de varios dientes.

ANTES

DESPUÉS

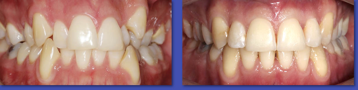
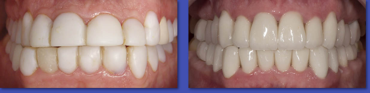
9. ESTÉTICA DENTAL

 

La estética  actualmente, en nuestra sociedad marca la diferencia. Una bella sonrisa ( con dientes hermosos y sanos ) nos abre puertas en  todo lugar y circunstancia, de ahí la importancia. Una sonrisa perfecta se puede lograr recurriendo a procedimientos de :  Blanqueamiento o Clareamientos dentales, Carillas de Cerámica, Ortodoncia, Remodelación de encías,etc.

ANTES

DESPUÉS

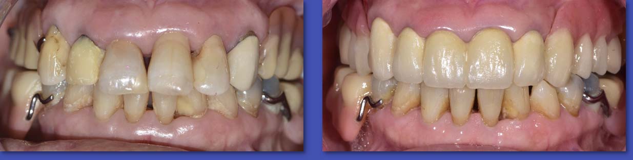
10. REHABILITACIÓN ORAL

 

La rehabilitación oral es una especialidad dentro de la odontología que combina en forma integral las áreas de prótesis fija, prótesis removible, operatoria, oclusión e Implante dental, que realiza el diagnóstico y plan de tratamiento adecuado al paciente de alta complejidad que requiere recuperar su salud bucal a través de las técnicas más modernas de rehabilitación. A su vez, establece estrecha relación con las demás disciplinas de la odontología, como periodoncia, endodoncia y ortodoncia.

ANTES

DESPUÉS

VOLVER

Operatoria dental, periodoncia, endodoncia, ortodoncia, prótesis fija (coronas y puentes), prótesis removibles, prevención, implantes dentales, estética dental, rehabilitación oral.

Dentistas Villa Alemana, Quilpué, Belloto, Peñablanca, Limache, Viña del mar, Valparaíso, Olmué.

• Odontología Integral Niños y Adultos • Ortodoncia - Implantes Dentales • Estética Dental - Endodoncia • Prótesis Fija y Removible

• URGENCIAS •

 

LUNES A VIERNES

9:30  A  12:30

15:00  A  18:00

 

 

Horarios de Atención:

32 295 69 90

+569 8588 1598

Villa Alemana - Buenos Aires 1001